Ангиография сосудов головного мозга в деталях
Для того чтобы понять причину проблемы со здоровьем, нужна глубокая и тщательная диагностика. Только в таком случае результат от терапии может оказаться положительным.
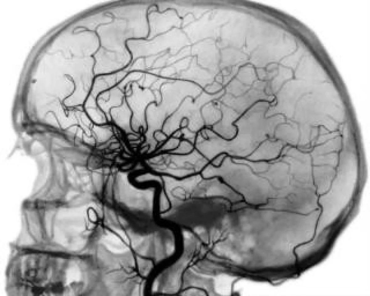
Ангиография сосудов головного мозга используется представителями медицины довольно часто. Метод точный, безопасный и может похвастаться высоким порогом информативности. Примечательно, что с его помощью можно выявить патологии сосудов на ранних стадиях. Это серьезное преимущество. Кроме того, при помощи ангиографии возможна диагностика новообразований.
Какие задачи стоят перед МР ангиографией? Прежде всего, процедура позволяет в деталях рассмотреть разные функциональные или структурные изменения в области артерий, вен, а также капилляров, которые находятся в зоне головы. В этом случае можно легко определить степень стеноза и увидеть ширину просвета сосудов. Кроме того, процедура позволяет оценить активность кровотока, а также выявить многочисленные сопутствующие проблемы и патологии.
Ангиография сосудов головного мозга покажет сосудистые аневризмы и мальформации, различные изменения стенок сосудов, очаги инсультов или микроинсультов, различные посттравматические изменения, тромбозы синусов мозга, а также кисты, новообразования или гематомы. Обследование можно инициировать в одном из современных медицинских центров, к примеру, «Нейромед» в Киеве. В этом случае исследование будет проведено быстро и качественно. Диагностика проводится в оперативном порядке, исключая очереди и томительное ожидание. Пациенту лишь нужно прийти в центр в назначенное время. Результат будет готов в течение часа.
Магнитно-резонансная ангиография – это прогрессивный метод исследования. Он может похвастаться выраженными преимуществами. Прежде стоит отметить безопасность процедуры. В этом случае болевые ощущения, дискомфорт и облучение в полной мере исключены. Проводить обследование можно по мере необходимости. Возможно обследование с седацией, если пациент не способен, в силу объективных причин, сохранить полную неподвижность.
Противопоказания имеются, но их количество минимальное. Прежде это касается наличия инородных тел в области головы. Также процедуру нежелательно проводить в первом триместре беременности. Кроме того, диагностика противопоказана людям с тяжелой степенью сердечной недостаточности, либо пациентам с повышенной массой тела.
